Primer Kemiğin Kötü Huylu Tümörleri

Genel Bilgi

Malign kemik tümörleri (kötü huylu kemik tümörleri); kemiğin kendi tümörleri ve diğer organlarda görülen tümörlerin kemiğe yayılması (metastaz) olarak iki grupta değerlendirilir. Kemikte metastazlar, kemiğin kendi kötü huylu tümörlerine kıyasla daha çok görülürler. Kemiğin metastatik tümörü özellikle prostat, meme, akciğer, tiroid bezi ve böbrek kanserlerinde rastlanır.

Kemik dokusundan köken alan primer kötü huylu kemik tümörleri diğer organ tümörlerinden daha az rastlanır. Kemiğin kötü huylu tümörü sarkom olarak adlandırılır. Sarkomların iyi huylu tümörlerden ayırıcı özelliği metastaz yapabilmeleridir. Bu da hayatı tehdit eder. Malign kemik tümörünün tanı ve tedavisinde iyi bir klinik değerlendirme, doğru radyolojik inceleme ve tekniğine uygun biyopsi yapılması gerekir.

Kemiğin kötü huylu tümörlerinde ilk önce cerrahi evreleme yapılmalıdır. Tümörün boyutları, yerleşim yeri, kemik ve yumuşak doku yayılımı ve metastaz durumu dikkatlice değerlendirilmelidir.

Kemik tümörlerinin %60’ında ilk tanı esnasında mikrometastazlar olabilir. Sarkomlar hematojen yolla yayıldığından %75’i akciğere metastaz yapar. Akciğer metastazını değerlendirmek için akciğer BT veya PET/BT yapılmalıdır. Ayrıca kemik metastazı olup olmadığı kemik sintigrafisi ile değerlendirilir.

OSTEOSARKOM

Osteosarkom kemiğin yüksek dereceli kötü huylu tümörüdür. Çocukluk ve genç erişkinlik döneminde kemiğin sık görülen kötü huylu tümörüdür. En sık 10-14 yaş ve 60 yaş sonrası görülür. Olguların büyük çoğunluğu sporadik mutasyonlar sonucu ortaya çıkar. Sekonder osteosarkom nedenleri arasında Paget hastalığı ve radyasyona maruz kalma yer alır, genellikle 65 yaş üzeri görülür.

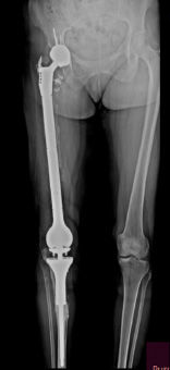
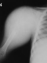
Osteosarkomların %75’i uzun kemiklerde özellikle diz bölgesinde ve kol kemiğinin üst ucunda görülür.

Hastalar gittikçe artan ağrı, haftalar-aylar içerisinde büyüyen kitle, komşu eklemi hareket ettirememe, ısı artışı ve kızarıklıkla ortaya çıkar. Hastaların %5-10’unda patolojik kırık gelişebilir. Osteosarkoma özgü kan tahlilleri yoktur. Alkali fosfataz, LDH (laktat dehidrogenaz), kemik yapım ve yıkım aktivitesini değerlendirmek için bakılır. CRP’nin ise hastalığın prognozunun belirteci olduğu bilinmelidir. 

Primer Osteosarkomlar

1. Santral (intramedüller) Osteosarkomlar

a) Klasik Osteosarkom

Tüm osteosarkomların %75’ini oluşturur. Normal kemik dokusuna invaze olan, olgunlaşmamış kemik dokusu üreten mezenkimal dokulardan oluşur. Matriks oluşumuna göre; osteojenik, kondrojenik ve fibroblastik osteosarkom gibi alt tipleri vardır. Bunların genellikle biyolojik davranışı ve prognozları birbirine benzer.

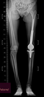
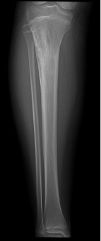
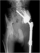
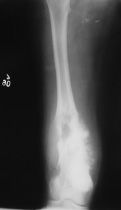
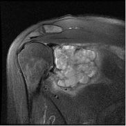
Klasik osteosarkom uzun kemiklerde kötü sınırlı, kemik yıkımına neden olan litik/sklerotik görünümlü lezyonlardır. Periostta kemiğe dik açıda oluşan kemik oluşumu (batan güneş manzarası) patogonomiktir. Yumuşak doku komponenti eşlik eder. BT kemik içerisindeki patolojileri göstermede yeterlidir. MRI ise yumuşak doku yayılımını, damar ve sinirin tutulup tutulmadığını, fiz hattının (büyüme kıkırdağı) etkilenip etkilenmediğini, komşu eklemin tutulup tutulmadığını, skip metastazların olup olmadığını ve uygun biyopsi yerinin belirlenmesinde yardımcıdır.

Klasik osteosarkomun cerrahi tedavisi, tümör ve tümör dokusu ile temas etmiş tüm bölgelerin, üzerinde yeterli kalınlıkta sağlıklı doku örtüsü bırakılarak, tümöre dokunulmadan çıkartılmasıdır. Kemoterapi, tümörü küçülterek çıkartılmasını kolaylaştırmak, bölgesel tekrar (lokal nüks) riskini azaltmak ve sistemik yayılmayı (metastaz) engellemek için ameliyat öncesi (neodjuvan) ve ameliyat sonrası (adjuvan) mutlaka uygulanmalıdır. Neoadjuvan kemoterapi ile mikrometastazların önüne geçmeye çalışılır.

Akciğerlerde ortaya çıkabilecek metastazlar kemoterapi ve cerrahi ile tedavi edilirler. Hastalığın tamamen tedavi edilebilme oranı doğru ve başarılı yöntemlerle % 65-70 olarak belirlenmiştir.

b) Telanjiektazik Osteosarkom

Osteosarkomların %4’ünü oluşturur. Klasik osteosarkom ile aynı prognozu gösterir. Kemikte hızlı destrüksiyon yapar. Patolojik kırığa neden olabilir. MRI’da sıvı sıvı seviyesinin görülmesi anevrizmal kemik kisti ve dev hücreli kemik tümörü ile karışmasına neden olur. Osteoid yapının az olması biyopside yanlış tanıya neden olabilir.

c) Küçük Hücreli Osteosarkom

Radyografide litik bir görünüm verir. Histopatolojik olarak Ewing sarkomuna benzer. Osteoid yapımı ile Ewing sarkomundan ayrılır.

d) Düşük Dereceli İntrameduller Osteosarkom

Osteosarkomların %1-2’sini oluşturur. 3.-4. dekatta görülür. Tedavisi geniş rezeksiyondur.. Prognozu klasik osteosarkomdan daha iyidir. Yaşam beklentisi yüksektir.

2. Yüzeysel Osteosarkomlar

a) Parosteal Osteosarkom

Periosttan (kemiği çevreleyen zar) kaynaklanan kemik yüzeyinden çıkan bir tümördür. Olguların %70’i femurun (uyluk kemiği) alt ucunda, arka yüzden çıkar. Humerus (kol kemiği) ve tibia (kaval kemiği) üst uçta da görülebilir. Daha seyrek olarak kot, el ve ayak küçük kemiklerinden de çıkabilir. Parosteal osteosarkomda tek başına geniş rezeksiyon yeterli olabilirken bazı durumlarda adjuvan kemoterapi de uygulanabilir.

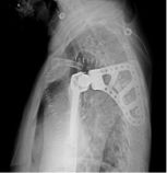
b) Periosteal Osteosarkom

Genellikle uyluk (femur) ve tibianın (kaval kemiği) orta kısmından kemiğin periostundan (kemiği çevreleyen zar) çıkan yüzeyel bir tümördür. Ağrı ve şişlik şeklinde kendini belli eder. Radyolojik özellikler; korteks kalınlaşması solid veya lamellerdir, Codman üçgeni görülebilir, aşırı kondroblastik komponent görülür. Tedavisi klasik osteosarkom gibi yapılır.

Sekonder Osteosarkomlar

Sekonder osteosarkomlar yaşlı insanlarda görülür. İlerleyişi daha kötüdür. Radyoterapi uygulanması veya Paget hastalığı sonrası gelişir. Fibröz displazi ve kronik osteomiyelitten sonra da gelişebilir. 50 yaş üzerinde görülen osteosarkomların %50’si bu gruptadır.

KONDROSARKOM

Kıkırdak hücresi üreten kötü huylu bir tümördür. En sık 30-60 yaş arasında görülür. Sıklıkla femurun (uyluk kemiği) her iki ucunda, humerusun (kol kemiği) üst ucunda, pelvis (leğen kemiği), kaburga, omurga ve kafa kemiklerinde görülebilir. Kondrosarkomlar primer ve sekonder olmak üzere iki gruba ayrılır. Elde nadir görülmesine karşın malign el tümörleri içerisinde üst sıradadır.

Doğrudan kemik ve yumuşak dokudan çıkanlara primer kondrosarkom denir. Daha önce var olan osteokondrom veya enkondromdan çıkanlara sekonder kondrosarkom denir. Kondrosarkomların %75’i primer, %25’i sekonderdir.

Primer kondrosarkomlar 40-60 yaş arasında, sekonder kondrosarkomlar ise 25-45 yaş arasında pik yapar. Tip II kondrosarkomlarda 5 yıllık yaşam beklentisi %60-70, tip III kondrosarkomlarda %30-50 oranındadır.

Hastaların yakınması ağrı ve şişliktir. Yavaş büyüdüğünden hastanın doktora müracaatı geç olabilir.

BT; kemik periostundaki değişiklikleri, kortikal değişiklikleri, kitle içindeki kalsifikasyon ve patolojik kırıkları gösterebilir.

MRI ise kemik medullasındaki tutulumu, yumuşak doku komponentini, damar sinir ilişkisini, eklem tutulumunu ve skip metastazı en iyi gösteren görüntüleme yöntemidir.

Enkondrom veya osteokondromun büyüklüğü 6 cm’den fazla ve lezyonun çapı geliştiği kemiğin çapından iki kat fazla ise malign (kötü huylu) olma ihtimali yüksektir. Ayrıca sintigrafide artmış tutulum, PET/BT de ayırıcı tanıda yardımcıdır. PET/BT de SUVmax (standartized uptake valued), grade 1 kondrosarkomda 2’nin altında iken yüksek dereceli tümörlerde 4.4’ün üzerindedir.

Kondrosarkomlar klasik olarak kemoterapi ve radyoterapiye dirençli tümörledir. Skapula ve yassı kemiğe yerleşen lezyonlarda biyopsi tanısı düşük dereceli de olsa, lokal nüks oranı yüksek olduğundan tedavide geniş rezeksiyon tercih edilmektedir.

Yüksek dereceli kondrosarkomlarda geniş rezeksiyon (negatif cerrahi sınır) ve uygun rekonstrüksiyon yapılmalıdır. Hastaların metastaz ve lokal nüks açısından yakın takibi gerekir.   

Kondrosarkomda Prognozu Kötü Etkileyen Faktörler

  • Tümörün histolojik derecesinin yüksek olması
  • Sekonder kondrosarkom olması
  • Dedifferansiye veya mezenkimal alt gruplarda olması
  • Lezyon uzunluğunun 8 cm’den fazla olması
  • Patolojik kırık olması
  • Tanı anında metastaz olması
  • Kafa tabanı, leğen kemiği gibi zor bölgelerde bulunması
  • Temiz bir cerrahi sınırın bulunmaması

1. Klasik Medüller Kondrosarkom

Sıklıkla pelvis (leğen kemiği), femurun (uyluk kemiği) ve humerusun (kol kemiğinin) üst ucunu tutar. Kondrosarkomların %80’nini oluşturur. 30 yaş üzerinde sık görülür. Grade I kondrosarkomlarda lezyon içerisine girilerek geniş küretaj yapılır. Grade II ve üzeri lezyonlarda lezyon için cerrahi girişimlerde lokal nüks riski çok yüksektir. Bu tip kondrosarkomlarda mutlaka geniş sınırlar ile rezeksiyon yapılmalıdır. Histolojik derece çok yüksek ise kemoterapi eklenebilir.

2. Berrak Hücreli Kondrosarkom

Klasik kondrosarkoma göre prognozu daha iyidir. 20-40 yaş arasında sık görülür. Femur ve humerus üst ucunda epifizer bölgede (ekleme en yakın kısım) görülür. Radyolojik olarak keskin sınırlıdır. Kondroblastom ile karışabilir. Küretaj sonrası nüks oranı yüksektir. Olguların %15-20’sinde metastaz görülebilir. Kemoterapiye duyarlı değildir. Tedavisi, geniş sınırlarla yapılacak cerrahi girişimdir.

3. Mezenkimal Kondrosarkom

İyi differansiye, daha genç yaş grubunda ortaya çıkan, yüksek dereceli bir kondrosarkomdur. %20 yumuşak dokuda %80 kemik dokusunda gelişebilir. Sıklıkla kafa kemikleri, omurga ve alt ekstremite kemiklerinde görülür. Kötü prognozlu ve hızlı seyirlidir. 5 yıllık sağ kalım oranı %60 civarındadır. Çok iyi kanlanan yüksek dereceli dokudan oluştuğu için kemoterapiye duyarlıdır.

Mezenkimal kondrosarkom osteosarkom protokolü ile tedavi edilir, tedavisinde geniş rezeksiyon ve adjuvan kemoterapi uygulanır. 

4. Miksoid Kondrosarkom

Yüksek dereceli yumuşak doku sarkomudur. Kemiğin kondrosarkomundan bütün özellikleri farklıdır.

5. Dediferansiye Kondrosarkom

Yüksek dereceli bir kondrosarkomdur. En sık femur (uyluk kemiği), pelvis (leğen kemiği), humerus (kol kemiği) ve skapulada (kürek kemiği) görülür. Kondrosarkomlar içerisinde en kötü prognoza sahiptir. Tanı anında metastaz yapma oranı yüksektir. Beş yıl yaşam beklentisi %5-20 civarındadır. Dedifferansiye kondrosarkomlar osteosarkom protokolu ile tedavi edilebilir. Fakat kemoterapinin prognoza etkisi tartışmalıdır.

6. Periostal Kondrosarkom

Yüzeyel yerleşimli kemik dış yüzeyinde 5 cm’den büyük kitlelerdir. 20-40 yaş arasında görülür. Kemik medullasında tutulum görülmez. Prognozu iyidir, metastaz yapmaz. Diğer hastalıklar ile ayırıcı tanısı yapılmalıdır (periosteal osteosarkom, miyozitis ossifikans ve periosteal Ewing sarkomu).

EWING SARKOMU

Ewing sarkomu, küçük yuvarlak hücrelerden oluşan yüksek dereceli kötü huylu bir kemik tümörüdür. Köken aldığı hücreler net olmasa da yapılan çalışmalar nörojen kaynaklı olduğunu düşündürmektedir. Kemiğin ikinci sıklıkta görülen kötü huylu tümörüdür. Genellikle erken çocukluk, ergenlik ve genç erişkinlik döneminde gelişir. Uzun kemiklerin diyafiz bölgesinde ve yassı kemiklerde (pelvis ve skapulada) görülebilir. İskelet dışı bölgelerde görülme oranı %12 civarındadır.

Hastalar ağrısız ve hızlı büyüyen kitle ile başvurur. Kitle üzerinde kızarıklık ve damarlanmada artış görülür. Ayrıca ateş, gece terlemesi ve zayıflık gibi sistemik bulgular mevcuttur. Laboratuvar incelemelerinde anemi, lökositoz, C reaktif protein yüksekliği ve artmış laktat dehidrogenaz (LDH) yüksekliği vardır. Artmış LDH kötü prognoz göstergesidir.

Radyolojik incelemede permeatif ve infiltratif kemik destüksiyonu vardır. Diafizde soğan halkaları tarzında periost reaksiyonu görülür. MRI incelemesinde yumuşak doku komponenti ve içerisinde nekroz alanlarının olup olmadığı, lezyonun kemik içerisine yayılımı, skip metastazlarının olup olmadığı, eklem ve komşu damar ve sinirlerin etkilenip etkilenmediği değerlendirilir. Kemik sintigrafisi tümörün aktivitesi ve metastazların varlığının değerlendirilmesi için kullanılır. Kesin tanı biyopsi ile konur.

PET/BT, tümörün aktivitesi ve metastazların araştırılması için kullanılır. Tedavi sonrası yapılan PT/BT’de SUV max değerlerinde gelişen değişikliklere göre tümörün tedaviye cevap verip vermediği değerlendirilir.

Ewing sarkomunda tedavinin amacı; tümörü küçültmek, skip metastazları kaldırmak ve geniş cerrahi rezeksiyon ile tümörü çıkarmaktır. Ewing sarkomu, lokal tutulumun yanında sistemik hastalığın da var olduğu bir tümördür. Bu nedenle lokal tümör ile birlikte sistemik hastalığın tedavisi de prognoz açısından çok büyük önem taşır.

Ewing sarkomu kemoterapi ve radyoterapiye oldukça duyarlı bir tümördür. Neoadjuvan kemoterapi, radyoterapi ve/veya cerrahi tedavi, adjuvan kemoterapiden oluşan multimodal bir tedavi protokolü uygulanmalıdır. Beş yıllık sağ kalım oranı %75 civarındadır. Metastatik olgularda 5 yıllık sağ kalım oranı %30 civarındadır.  

Ewing Sarkomunda Prognozu Kötü Etkileyen Faktörler

  • Hastanın tanı esnasındaki evresi ve metastaz durumu
  • Tanı esnasında 14 yaşından büyük olmak
  • Tümör hacminin 8 cm veya 200 ml den büyük olması
  • Kemik iliği tutulumu olması
  • Kemoterapiye iyi cevap vermemesi
  • LDH yüksekliği
  • Pelvis ve omurga gibi çıkartılması zor bölgelerde lokalize olması
  • Geniş cerrahi sınır elde edilememesi

KEMİĞİN PRİMİTİF NÖROEKTODERMAL TÜMÖRÜ (PNET)

Ewing sarkom ailesinden olduğu kabul edilen bu tümörün histolojik seviyede bazı farkları olduğu ileri sürülse de klinik davranış, tedavi yöntemleri ve prognoz açısından herhangi bir farkı yoktur.

KORDOMA

Sakrum ve alt omurga seviyelerinde kalan embriyonik doku artıklarından kaynaklandığına inanılan, düşük dereceli, yavaş büyüyen, lokal destrüksiyon yapan habis bir kemik tümörüdür. Genellikle 40-70 yaşları arasında ve erkeklerde biraz daha fazla görülür. Sakral kordomalar, önlerindeki boşluğa doğru yavaş yavaş ve ağrısız olarak büyüdükleri için ancak geç dönemde şikayetlere neden olurlar. Hastalar uzun süre oturmakla alt omurga bölgelerinde ağrı, zaman zaman kabızlık ve güç tuvalete çıkma şikayetleri ile hekime başvururlar. Hastalığın ileri dönemlerinde bacaklarda his kaybı, mesane, barsak ve cinsel fonksiyon kaybı gibi nörolojik bulgular ortaya çıkar. Bu dönemde rektal muayenede sakrumdaki kitle ele gelebilir.

Grafide sakrumda orta hat yerleşimli, belirsiz sınırlı, litik bir kitle görülür. Düz grafide görüntü almak çok zordur. MRI incelemesi, tümörün tüm uzanımını, öndeki rektum, mesane, damarlar ve özellikle sinir kökleri ile ilişkisini gösterir. BT’de kemikteki destrüksiyon en iyi şekilde görülür. Ayırıcı tanıda dev hücreli tümör, anevrizmal kemik kisti, kondrosarkom dikkate alınmalıdır.

Kordomada kemoterapi ve radyoterapinin etkisi yoktur, buna karşın lokal tekrarlama eğilimi çok yüksektir. Yetersiz cerrahi yapıldığında lokal nüks gelişir. Esas tedavisi cerrahidir. İmkan dahilinde geniş rezeksiyonla çıkartılmalıdır. Teknik olarak tam çıkartılamaz ise radyoterapi (RT) uygulanmalıdır. Geniş rezeksiyon yapıldığında 5 yıl yaşam şansı %73, 10 yıl yaşam beklentisi %58’dir. Hastaların %30’unda metastaz görülür. 

YÜKSEK DERECELİ PLEOMORFİK SARKOM

Eskiden malign fibröz histiositom olarak ta bilinen bu tümörün %70-75’i ekstremitelerden çıkar. 40 yaşın üzerindeki hastalarda daha çok görülür. Olguların %70’i primer olarak alt ekstremite diz bölgesinden ya da sekonder olarak Paget hastalığı, radyasyon sonrası veya osteomiyelitten sonra gelişebilir. Önde gelen bulgu ağrıdır. Hastaların %50’sinde akciğer metastazı görülür. Radyolojik olarak litik lezyon ve güve yeniği lezyonlar vardır.

Tedavi osteosarkom gibidir. Kemoterapi ve geniş rezeksiyon yapılmalıdır. Akciğer metastazları kemoterapi ve metastazektomi ile tedavi edilebilir. Yeterli cerrahi tedavi ve kemoterapi uygulaması ile 5 yıllık yaşam beklentisi %60 civarındadır. 

ADAMANTİNOMA

Düşük dereceli, ender rastlanan habis bir kemik tümörüdür. Adını benzer bir dokudan çıkan bir çene tümöründen alır. Uzun kemiklerdeki lezyonlar çenedekinden farklı olarak metastaz yapabilirler. Her iki cinste özellikle de 20-50 yaş arasında sık görülür. Lezyonların %90'ı tibiadadır. Humerus, ulna, femur ve diğer kemiklerde de görülebilir. Hastalar hekime yıllardır devam eden hafif bir ağrı ve yavaş yavaş belirgin hale gelen sert bir şişlik şikayeti ile başvurular. Bazen patolojik kırık olabilir.

Adamantinoma bazen fibröz displazi ile birlikte olabilir, ya da bunu taklit edebilir. Biyopsi ile tanı konulduktan sonra kemoterapi ve radyoterapi duyarlılığı olmadığı için tedavi seçeneği olarak geniş sınırlar ile cerrahi rezeksiyon uygulanır. 

Kaliteli bir yaşam için sağlığınızı ihmal etmeyin.

Anlaşmalı Olduğumuz Sigorta Şirketleri

Allianz Sigorta
AXA Sigorta
Magdeburger Sigorta

Copyright 2022 Scroll2Top. Tüm hakları saklıdır.