Kemik Tümörleri Hakkında

Genel Bilgi

Çevresel ya da kalıtsal faktörlere bağlı olarak kemik dokusundaki hücrelerde çeşitli değişimler meydana gelebilmektedir. Kemik tümörü, iskelet sistemi hücrelerinin kontrolsüz çoğalması ile oluşan kitledir. Meydana gelen pek çok kemik tümörünün nedeni bilinmemektedir. Büyüyen tümörün zaman içerisinde dokulara yayılması ile kemikte zayıflama ve kırık meydana gelebilir. Klinik, radyoloji ve patoloji sonuçları bir uzman tarafından değerlendirilerek tanıya ulaşılır. Çoğu kemik tümörü iyi huyludur. Çocukluk ve ergenlik çağında sık görülür. Bazıları kötü huylu olabilir. Nadiren, enfeksiyon, stres kırığı ve diğer tümör dışı durumlar tümöre benzer davranış gösterebilirler.

Kemik tümörleri, selim kemik tümörleri ve habis kemik tümörleri olarak iki grupta incelenir.

Bulgular

Kemik tümörü olan hastalarda öncelikle aktivite ile başlayan, zamanla istirahatte de ortaya çıkan ağrı şikayeti olabilir. Ağrı kesici alınmasına rağmen ağrı geçmez ve bu kemik ağrıları bir hayli uzun sürebilir. Ağrı hissedilen bölgede ele gelen kitle ve sertlik gibi bulgular olabilir. Ağrı bazı hastalarda, kırık riskinin bulunduğu aktif tümörlerde görülür. Çocukluk ve gençlik çağında değişik sebeplerle çekilen düz grafilerde selim kemik tümörleri tesadüfen tespit edilebilir. 

GÖRÜNTÜLEME

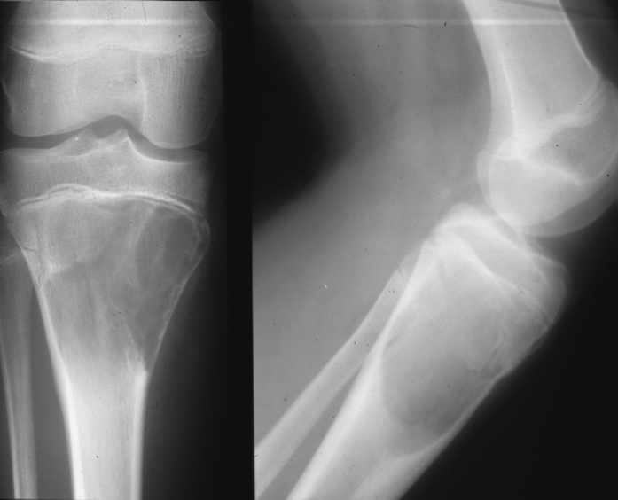
Düz Grafi

Kemik şikayeti olan her hastaya öncelikli olarak düz grafi çekilir. Değişik kemik patolojilerinde (rahatsızlıklarında) her hastalığa özgü değişik görüntüler çıkar ve bunlar değerlendirilir. Kemik patolojileri; osteoartirit (kireçlenme), osteoporoz (kemikte erime), kemik tümörleri, kemikte oluşan kırıklar ve çatlaklar şeklinde sıralanabilir. Bazı rahatsızlıklarda düz grafi yeterli iken, bazı rahatsızlıklarda ileri tetkikler yapmak gerekir.

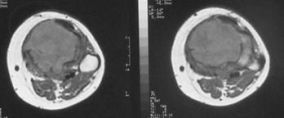
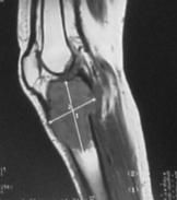
MRI (Magnetic resonance imaging / Manyetik rezonans görüntüleme)

Tümörün yumuşak doku ve kemik iliğinde yayılımını değerlendirmek için MRI kullanılır. Düz grafiden sonra yapılması gereken incelemedir. Ancak MRI bazen gereğinden fazla ayrıntı gösterebilir. Örneğin osteoid osteoma gibi bazı tümörler aşırı ödem nedeni ile kötü huylu tümörlere benzer görüntü verebildiğinden yanıltıcı olabilir.

BT (Bilgisayarlı Tomografi)

Kemikteki patolojik değişikliklerin tam değerlendirilmesinde BT tercih edilir. Ayrıca akciğerde tümörün yayılımını değerlendirmek amacı ile de kullanılır. Tümörün kemiğe etkisini ve kemiğin tümöre karşı oluşturduğu reaksiyonu oldukça net gösterir. Hastaların çoğunluğu çocuk yaşta olup ve çocukların radyasyon alması sakıncalı bulunduğundan BT tanıda gerekiyorsa en son tercih edilmelidir.

Kemik Sintigrafisi

Kemik sintigrafisi, tümörün aktivitesi ve uzak tutulum (metastaz) konusunda yardımcı olur.

PET (Positron emission tomography)

PET, glikoz metabolik aktiviteyi gösterir. Yalnız kemikte değil vücudun herhangi bir yerindeki aktivite artışınıda gösterir. Aktivite artışı tümöre spesifik olmayıp, travma iyileşmesinde ve enfeksiyonda da görülebilir.

BİYOPSİ

Biyopsi, radyolojik incelemeler tamamlandıktan sonra kesin tanıya ulaşmak için tümör şüphesi olan dokudan örnek alınmasıdır. Biyopsi teşhis ve tedavide yol göstericidir. İyi bir biyopsi hastaya verilecek zararın en az olduğu, tanının en doğru olduğu yöntemdir. Eksizyonel biyopsi düşük risk durumlarında uygulanmalıdır. Biyopsi seçenekleri hedeflenen dokuya göre açık biyopsi veya iğne biyopsisi şeklindedir. Alınan doku örneğinin mikroskopta incelenebilir hale gelmesi için, patoloji laboratuvarında birtakım işlemlerden geçirilerek ve özel boyama yapıldıktan sonra patoloji uzmanı tarafından değerlendirilir.

Kaliteli bir yaşam için sağlığınızı ihmal etmeyin.

Anlaşmalı Olduğumuz Sigorta Şirketleri

Allianz Sigorta
AXA Sigorta
Magdeburger Sigorta

Copyright 2022 Scroll2Top. Tüm hakları saklıdır.