İyi Huylu Kemik Tümörleri

Genel Bilgi

Bazı iyi huylu kemik tümörleri yerleştikleri kemikte tahribat yapabilirler, kemiğin yapısını bozarak bulundukları bölgede yayılım gösterebilirler. Ağrı en sık görülen belirtidir. Genellikle geceleri ortaya çıkar. Tümörün türüne bağlı olarak çok şiddetli ağrıdan hafif ağrıya kadar değişken olabilir. Başlangıçta ağrı kesicilere cevap verir. Eğer tümör saldırgan bir tümörse ağrı giderek artar, sürekli bir hal alır ve sıradan ağrı kesicilere cevap vermez. Ancak selim tümörlerin önemli bir çoğunluğu belirti vermezler. Bu durumda başka bir nedenle röntgen çekilen hastada tesadüfen görülür ya da patolojik kırıkla kendini gösterir.

Osteoporoz, iyi ya da kötü huylu kemik tümörleri, kemik iltihapları gibi kemiği zayıflatan bir durum varlığında, kemikte normalde kırığa yol açmayacak basit travmalarla kemiğin kırılmasına patolojik kırık denir.

Kemik tümörlerinin büyük kısmı iyi huylu kemik tümörü grubuna girmektedir. Her bir tümörün tedavisi farklı özellikler gerektirmekle birlikte; iyi huylu kemik tümörlerinde, kontrol edilemeyen ağrı, kırık riski taşıyacak kadar kemikte incelme ya da çevre dokulara bası yapacak kadar büyümesi halinde cerrahi tedavi uygulanır.

Osteoidosteom

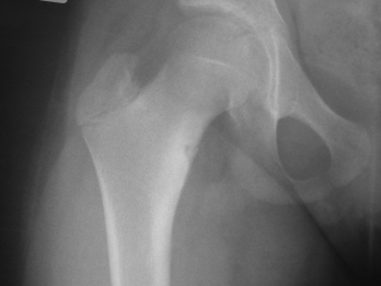
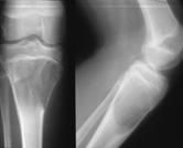
Osteoidosteom kemikten gelişen bir tümördür. Herhangi bir yaşta gelişebilir. Sıklıkla 10-20 yaş arasında erkeklerde daha çok görülür. Nidus adı verilen çekirdek bir yapı ve etrafındaki sklerotik kemikten oluşur. Genelde çapı 1,5cm’den küçüktür. Çapı 1,5cm’den büyükse osteoblastom denir. Histolojik ve morfolojik olarak yapıları aynıdır.Klinik seyirleri farklıdır. Gelişen bu lezyon genellikle alt ekstremitenin uzun kemiklerini tutar. Bir diğer görüldüğü bölge omurganın bel bölgesidir. Eğer omurgada yerleşmiş ise belde veya sırtta eğrilik şikayeti ile hasta gelebilir.

Geceleri artan şiddetli zonklama tarzında (diş ağrısı gibi) ağrıdan hasta yakınır. Aspirin alındığında yarım saatten kısa bir sürede ağrı geçer. Ağrı geçmiyorsa osteidosteoma benzer diğer lezyonlar araştırılmalıdır.

Ağrı şiddetli değilse 4 ay ara ile çekilen grafilerle kontrolü yapılır. Antienflamatuar ilaçlarla hasta rahatlatılır. Tedavi edilmeyen lezyonlar yıllar içerisinde kendiliğinden kaybolur. Ağrı yaşam kalitesini bozacak kadar fazla ise cerrahi olarak ya da radyo frekans ablasyonu ile tedavi edilir. Cerrahi tedavideki amaç nidusun çıkartılmasıdır. Nidus tam çıkartılmaz ise hastalık nüks eder. Nüks oranı %10 civarındadır. En az hasarla tümör çıkartılmalıdır. Nidus çıkartıldığında ya da yakıldığında etraftaki sklerotik kemik kendiliğinden kaybolur.

Osteoblastom

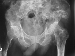
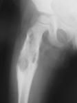
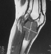
Osteoblastom genç erişkinlerde 10-30 yaş civarı görülür. Herhangi bir kemiği tutabilmekle birlikte %30-40 oranında omurgalarda görülür. Omurganın arka elemanlarını tutar. Yavaş büyüyen bir lezyondur. Bulgular teşhisten 1-2 sene öncesine kadar uzanır. Osteoidosteoma benzer ancak daha büyüktür. Ortada nidus (çekirdek) ve etrafında sklerotik dokudan oluşur. Osteoblastomdakinidus osteoidosteoma göre damardan daha zengindir. Sklerotik kemiğin çapı 2 cm’den büyüktür.Ortalama 3 cm çapındadır. 15 cm’ye kadar büyüyebilir. Yavaş büyür ve erken dönemde bulgu vermez. İleri dönemde ağrı ve yumuşak dokuda şişlik görülür. Alt ekstremiteyi tutmuşsa hasta topallama ile gelir, omurgayı tutmuşsa omurgada eğrilik gelişebilir. Ağrı kesicilerle ağrı tam geçmez hafifler.

Aksiyal kemiklerde lokalize olursa anevrizmal kemik kistini taklit edebilir. Çapı 4 cm’den fazla olursa kortikal kemikte incelme ve devamlılığında bozulma görülür. Kötü huylu tümörlerle karışabilir, BT ve MRI çekilmelidir. Biyopsi gerekir. Yumuşak dokuya taşmış lezyonlarda %20’ye yakın tekrarlama ihtimali vardır.

Tedavi; geniş küretaj ve grefonaj yapılır. Agresif olgularda rezeksiyon uygulanır. Rezeksiyon tümörün agresiflik derecesine bağlı olarak tercih edilir. Diğer tedavi seçenekleri kemoterapi ve radyoterapidir. Tam rezeksiyon yapılamayacak durumda olan hastalarda radyoterapi yapılabilir. 

Osteokondrom

Egzositoz adı da verilir. Kemiğin dış yüzünde adeta kemik çıkıntısı gibi bir görüntü verir. Çıkıntının üzerinde oluşan kıkırdak kepten büyümesini sürdürür. Osteokondromlar saplı veya sapsız olabilirler. Saplı olanlar daha yaygındır.Osteokondromlar tek ya da çoklu (Hereditermultipleosteokondromatozis) olurlar. Herediterosteokondromlar genetik olarak geçer. Osteokondrom 10-20 yaş arasında ve erkeklerde daha sık görülür. Diz çevresi ile omuz çevresinde daha çok görülür.

MRI, yeni ortaya çıkan ağrı, yumuşak doku invazyonu yada kondrosarkoma dönüşme şüphesi olan olgularda istenir. MRI’da kıkırdak kep kalınlığı erişkinde 1 cm’den, çocuklarda 2 cm’den daha fazla ise kondrosarkom lehine düşünülebilir. Parostealosteosarkom da ayırıcı tanıda unutulmamalıdır. Büyümenin tamamlanması ile osteokondromda gelişimini tamamlamış olur.

Tedavide hasta takip edilir; şayet komşu damar ve sinire bası yapıyorsa, sonradan ağrı gelişirse, kıkırdak kep kalınlığı erişkinde 1.5 cm, çocuklarda 2 cm den fazla ise eksize edilir. Tedavi lezyonun blok olarak rezeke edilmesidir.

Benzer bir lezyon subungual (tırnak altında gelişen) ekzositozdur. Ayağın birinci parmağının altında sık görülür. Geçmişinde bir travma hikayesi vardır. Tırnağı kaldırdığında veya ağrı oluştuğunda çıkartılması gerekir. Hikaye ve yerleşim yerideğerlendirilerek gerçek osteokondromdan ayırt etmek gerekir. 

Enkondrom

Enkondrom kemik medullasına yerleşen, kıkırdak üreten selim tümördür. Genellikle ikinci dekatta görülmesine karşın her yaş grubunda rastlanabilir. Genellikle uzun kemiklerde ve el kemiklerinde santral yerleşir. El ve ayakta en sık görülen tümördür. Bulgular yerleşime ve lezyonun yayılımına göre değişir. Kırık gelişmez ise asemptomatiktir. Rastlantısal olarak çekilen grafilerle tespit edilir. Kırık olmadan ağrı olursa düşük dereceli kondrosarkom için ayırıcı tanıya gidilmelidir. Tek enkondrom olgularında çekilen grafilerle kontrol yapılmalıdır. Lezyonda bir değişiklik yok ise müdahaleye gerek yoktur. Enkondrom soliter veya multiple olabilir.

Multipleenkondromun iki alt tipi vardır; Ollier hastalığı, tek taraflı multipleenkondromlarla karakterizedir. Maffucci sendromunda multipleenkondromlarla birlikte vasküler malformasyonlar görülür.

Patolojik kırık gelişmemiş küçük lezyonlarda konservatif tedavi uygulanır. Yük taşıyan kemiklerde lezyonun çapı 25 mm’den fazla ve korteksin %50’sini etkilemiş ise cerrahi tedavi düşünülebilir. Cerrahi tedavide küretaj ve greftleme yapılır. Kırık var ise önce kırığın iyileşmesi beklenir.

Enkondromun kondrosarkoma dönüşmesinde en önemli bulgu olan endosteal aşınma BT ile yapılan incelemede belli olur. Kırk yaşın üzerindeki hastada, kendiliğinden başlayan ve istirahat ile geçmeyen ağrı, sintigrafide anlamlı tutulum veMRI’da kötü huylu tümöre dönüşü destekleyen bulgular varsa biyopsi yapılmalıdır. Soliter enkondromların yaklaşık %1’inin kötü huylu tümöre dönüştüğü tahmin edilmektedir. 

Kondroblastom

Uzun kemiklerin uç kısmından (epifiz ve apofiz bölgelerinden) kaynaklanan, kıkırdak üreten ve selim (iyi huylu) tümördür. Genellikle ergenlik döneminde rastlanır. En sık rastlandığı bölgeler kol kemiğinin (humerusun) üst kısmı ve diz civarıdır. Bulgular komşu eklemde hafif şişme ve rahatsız edici ağrıdır. Uygun tedavi lezyon içerisine girerek küretaj (kazıma), sonra kriyoterapi veya kimyasal koterizasyon uygulanmasıdır. Kavite (boşluk) temizlendikten sonra greftleme yapılır. Agresif lezyonlardagreftleme yerine kemik çimentosu uygulanabilir. Ameliyat öncesi yapılacak embolizasyon kanama miktarını azaltır. Ameliyat sonrası dönemde 3’er aylık aralarla kontrol yapılmalıdır. Kötü huylu tümöre dönüşü oldukça nadirdir.

Kondromiksoid Fibrom

Uzun kemiklerin iyi huylu tümörüdür. Her yaşta rastlanabilir, 20-30 yaş civarında daha fazla görülür. Nadir görülen tümörlerdendir. Diz civarı ve topuk kemiği (kalkaneus) sık rastlanan bölgelerdir. Düz grafide sabun köpüğü görüntüsü vardır. Radyolojik olarak non-ossifiyefibrom ile karışır. Bulgular, ağrı ve şişliktir. Tedavide küretaj ve greftleme uygulanır. %20 oranında tekrarlayabilir. 

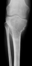
Non-Ossifiye Fibrom (NOF)

Gelişimsel bir anomalidir ve çocukların %35’inde görülür. Kemiğin tümöre benzer oluşumu olarak kabul edilir. NOF ayrıca fibröz kortikal defekt olarak da bilinir. Grafidelezyonun çapı kemik çapının %50’sinden fazla ise patolojik kırık gelişme ihtimali yüksektir.Multiple NOF iskelet sisteminin anomalileri ile görülür. NOF asemptomatiktir, tesadüfen çekilen grafilerde tespit edilir. Genellikle uzun kemiklerdeuyluk kemiğinin alt ucunda, kaval kemiğinin alt ve üst uçlarında görülür. Kemiğin medullasına doğru gelişen eksantrik tek lezyondur.Grafide kemik çapının %50’sinden fazla ya da lezyon uzunluğu 33 mm’den fazla ise cerrahitedavi gerekir. NOF lezyonlarında oluşan patolojik kırığın çoğu konservatif tedavi edilir.

Fibröz Displazi

Fibröz displazi, normal kemik dokusunun yerini proliferatif fibröz dokunun alması ile karakterize kemiğin selim tümörüdür. Kemiğin medullar kanalından kaynaklanır. Görülme yaşı ergenlik çağı ve 20’li yaş grubudur.Monostotik ve poliostotik fibröz displazi olarak iki tipi vardır.Monostotik olanların oranı %70 dir.

Lezyon; kol ve bacak uzun kemiklerinde, kaburgada, leğen kemiğinde ve kafa-yüz kemiklerinde görülebilir. Monostotik fibröz displazi iskelet sistemi gelişmesi esnasında, poliostotik olanlar ise iskelet sistemi geliştikten sonra ortaya çıkar. Poliostotik olanların %2-3’ü endokrin rahatsızlıklarla birliktedir, ciltte sütlü kahverengi lekelerle birlikte çok kemikte lezyon var ise McCune-Albright sendromu denir. İntramusküler miksoma ile birlikte görülürse Mazabraud Sendromu denir.

Kemikte aşırı zayıflık oluşunca patolojik kırık gelişebilir. Uyluk kemiği üst ucunda lezyonun geliştiği fark edilmez ise çoban asası görüntüsü meydana gelir. Düz grafide buzlu cam görüntüsü tipiktir. Genellikle hastaların şikayeti yoktur. Şişlik ve ağrı şikayeti gelişebilir. Fibröz displazi iskelet sisteminin gelişimi ile birlikte büyür. İskelet büyümesi tamamlanınca lezyonun gelişimi yavaşlar.

Fibröz displazinin altı aylık aralarla alınacak filmlerlekontrolu yapılır. Bifosfanatlar medikal tedavide altın standarttır. Patolojik kırık veya patolojik kırık gelişme ihtimali yüksek olduğunda kanal içi çivileme ile tedavi edilir. Deformite geliştiğinde düzeltici osteotomi ve internal osteosentez uygulanır. Cerrahi tedavide; küretaj +grefonaj, yüksek nüks nedeni ile gözardı edilir, kanal içi osteosentez uygulanır. Ayrıca deformitenin gelişmesini engellemek için de geniş lezyonlarda koruyucu internal fiksasyon da yapılır. Büyüme kıkırdaklarının aktif olduğu dönemlerde intramedüller çivileme bu bölgelere zarar verebilir. Tedavide amaç deformitelerin oluşmasını engellemek ve var olanı düzeltmektir. Monostotik formlarda %0,4 oranında kötü huylu tümöre (malignite) dönüş bildirilmiştir.

Osteofibröz displazi Campanacci hastalığı; nadir bir hastalıktır, tibia (kaval kemiği) ve fibulayı tutar. Özellikle tibianın 1/3 orta kısmında görülür. Tibia öne ve yana doğru eğilir. Kırık gelişmediği sürece ağrı olmaz. Patolojik kırk konservatif olarak tedavi edilir. Deformiteyidüzeltmek ya da deformite gelişmesini önlemek amacı ile cerrahi olarak tedavi edilir.

Dezmoplastik Fibrom

Bağ dokusu kökenli, selim ancak lokal tekrarlama eğilimi çok yüksek olan, agresif karakterli bir tümördür. Ergenlik çağında ve genç erişkinlerde tüm iskelet bölümlerinde ortaya çıkabilir. Histolojik olarak çok benzerlik gösterdiği fibrosarkomdan mikroskopik habaset özellikleri taşımaması ile ayrılır. Tedavi, mutlaka geniş sınırlar ile çıkartılma şeklinde olmalıdır. Kemoterapi ve radyoterapiye duyarlı değildir.

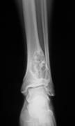
Basit Kemik Kisti

Basit kemik kisti; unikameral kemik kisti veya soliter kemik kisti olarak da bilinir. Kistin etrafı fibrotik doku ile çevrili ve içerisi sıvı doludur. Hastaların %80’i onlu ve yirmili yaşlardadır. Humerus (kol kemiği), femur (uyluk kemiği) üst uçlarında, erişkinde ise kalkaneus ve iliumda (leğen kemiği) görülür.İskelet sistemi büyümesi tamamlandığında genellikle kendiliğinden iyileşir.

Basit kemik kistininvenöz sirkülasyon bozukluğu sonucu geliştiği düşünülmektedir. Venöz kan akımındaki blokaj kemiğin rezorpsiyonuna neden olur. Basit kemik kisti uzun kemiklerin metafizer bölgelerinde gelişir. Yaşamın ilk dekatında daha agresifdir. Genelde asemptomatiktir. Orta derece ağrı, lokal hassasiyet ve şişlik mevcut ise patolojik kırık olduğunu düşündürür. Bulgular olmadan tesadüfen de saptanabilir.

Düz grafi teşhiste çok değerlidir. Düşen yaprak görüntüsü basit kemik kistine özgüdür. Kist kemiğin metafizer bölgesinde meduller boşlukta oluşur ve diafize doğru gelişir. Lezyon balona benzer. Lezyonların %15’i tedavi yapılmadan kendiliğinden iyileşir. Anevrizmal kemik kisti ve fibröz displazi ile karışabilir.

Medikal tedavide lezyon içerisine kortikosteroid enjeksiyonları yapılır. Enjeksiyondan 2 ay sonra radyolojide iyileşme bulgusu yoksa enjeksiyon tekrarlanır. Üç enjeksiyondan sonra iyileşme olmaz ise küretaj ve grefonaj yapılabilir. Ayrıca kemik iliğinden alınan aspirasyon, DBM (demineralized bone matrix), kalsiyum sülfat da enjekte edilebilir. DBM, içerisindeki inorganik mineraller uzaklaştırılmış organik kollajen içerenallogrefttir. Küretaj +kemik grefti ve internal osteosentezkırık riski olan geniş kemik kistleri ve patolojik kırıklar için tercih edilebilecek tedavidir. Böylece kemiğin bütünlüğü sağlanmış olur. 

Anevrizmal Kemik Kisti

Anevrizmal kemik kisti, kemiğin kanla dolu çok gözlü kistik bir lezyonudur. Kist hızlı büyüyerek kemikte hasar oluşturur. Bazı hastalarda, dev hücreli kemik tümörü, kondroblastom ve osteoblastom olguları anevrizmal kemik kisti birlikte görülebilir.Bunlara sekonder anevrizmal kemik kisti denir. Anevrizmal kemik kisti genellikle asemptomatiktir, İleri vakalarda hafif veya orta derecede ağrı, hassasiyet ve şişlik oluşur. Hızlı büyüyen lezyonlar malign (kötü huylu) tümörleri taklit edebilir. Sıklıkla, femur (uyluk kemiği), tibia (kaval kemiği) veomurgayı tutar. Bulunduğu yere göre tortikolis, skolyoz ve patolojik kırığa neden olabilir. Hastaların çoğu 20 yaşından küçüktür.

Grafidelezyonun çeperi (korteks) yumurta kabuğu görünümündedir. Düz grafide sabun köpüğü manzarasıtipiktir. Anevrizmal kemik kistinin genişliği metafizden fazladır. Basit kemik kistinin genişliği yakın olan fizden daha büyük değildir. Anevrizmal kemik kisti ile basit kemik kistinin ayırıcı tanısında, MRI’da sıvı-sıvı seviyesi tanı koydurmada yardımcıdır.

Tedavide küretaj+greftleme veya eksizyon uygulanır. Küretajdan sonra kriyoterapi veya kimyasal koterizasyon uygulanabilir, takiben grefonaj yapılır. Lokal nüks oranı %15-20’dir. 15 yaşından genç hastalarda nüks oranı yüksektir. Ameliyat öncesi yapılacak embolizasyon kanama miktarını azaltır. Anevrizmal kemik kistinde biyopsi yapılmasında yarar vardır.

Diğer tedavi seçenekleri;lezyon içerisine 2-3 aşamalı enjeksiyon ile skleroterapi (polidocanol) uygulanabilir. Şayet cerrahi tedavi mümkün değilse denosumab tedavisi başlanabilir. 

İntraosseöz Ganglion Kisti

Ganglion kisti orta yaş erkeklerde uzun kemiklerin uç kısmında oluşur. Diz, ayakbileği (kalkaneus) ve omuz civarında daha çok görülür. İçi jelöz sıvı ile dolu selim kistlerdir. Tedavi semptomatiktir, mekanik sorun yarattığı zaman cerrahi tedavi gerekebilir, küretaj yeterlidir.

Paget Hastalığı

Kemik yapım ve yıkımının bir arada yürüdüğü, sıklıkla 40 yaş üstünde ortaya çıkan bir hastalık tablosudur. Nedeni bilinmemektedir. Aşırı kemik yıkımını aşırı bir kemik yapımının takip etmesi sonucu oluşur. Kemik kitlesi artar ancak düzensiz ve kuvvetsizdir.

Kafatası, yassı kemikler ve uzun kemiklerin uçlarını daha fazla tutar. Poliostotik veya monostotik olabilir. Monostotik olanların oranı%15’dir. Kemik oluşumu kemiklerin enine kalınlaşmalarına ve büyümelerine, yıkımı ise yumuşamalarına, deforme olmalarına ve zaman zaman kırılmalarına yol açar. Kalınlaşan kemikler komşuluklarındaki kanallardan geçen sinir, damar gibi yapıların sıkışmalarına ve buna bağlı bulgulara neden olabilirler. Artmış kemik yapım ve yıkımına bağlı olarak kan ve idrardaki bazı bulgular tanı koydurucu olabilir. Ayrıca takipte kanda alkalenfosfataz seviyesine bakılır.

Radyolojik görüntü prostat kanserinin osteoblastik metastazı, kronik osteomyelit ve osteosarkomla karışabilir. En önemli nokta, ileri dönemlerde habis dönüşümle sekonder, yüksek dereceli sarkomların ortaya çıkabileceğinin bilinmesidir. Sıklıkla poliostotik olanlarda görülür. Hastalar, teşhisten sonra dikkatle takip edilmelidir. Tedavide endokrin uzmanı konsültasyonu ile kemik yıkımını engelleyici medikal tedavi yer almaktadır. Paget hastalığının tedavisinde antienflamatuar ilaçlar, kalsitonin veya bifosfonatlar verilebilir.

Sarkoma dönüşüm varlığında ise agresif cerrahi tedavi gereklidir. 

Brown Tümörü

Parathormon kalsiyum dengesinin düzenlenmesinde önemli rol oynar. Hiperparatiroidizim sonucu parathormon aşırı salgılanır ve artan osteoklast aktivitesi sonucu iskelet değişiklikleri meydana gelir. Ciddi kemik erimelerine ve kemiklerde büyük kistik lezyonlar oluşmasına yol açar. Radyografideki görüntü, sınırları belirsiz, kemiği genişleten, litik lezyonlardır. Dev hücreli tümör görüntüsüne benzer, ancak epifizden çok diyafizi tercih ederler.

Hastada kanda, kalsiyum, fosfor, alkalen fosfataz, parathormon seviyesinin yüksekliği ve lezyondan alınan biyopsi ile tanı koyulur. Histolojik bulgular dev hücreli kemik tümörü ile karışabildiğinden ayırıcı tanıda dikkatli olmak gerekir.

Tedavi kemiği yükten koruyarak kırılmaların engellenmesi ve esas sorunun kaynaklandığı paratiroid bezi hastalığının tedavi edilmesidir. Bu şekilde kemiğe uygulanacak gereksiz cerrahiler engellenebilir. Uygun tedaviden sonra kemik lezyonları kendiliğinden iyileşecektir. Ortopedik olarak kırık ve kırık riski mevcut ise ameliyat yapılır. 

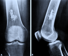
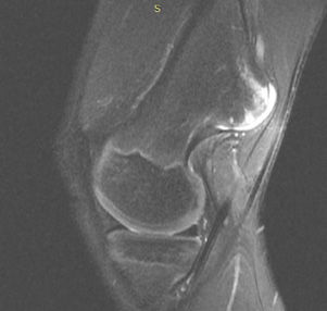
Dev Hücreli Kemik Tümörü

Kemiğin selim-agresif tümörü olarak kabul edilir. Genç erişkinde osteolitik karakterde kemik tümörüdür. Uzun kemiklerin ekleme yakın uç kısmından çıkabilir. Hastalar tümör bölgesinde devamlı ve giderek artan inatçı bir ağrı ve şişlik ile başvururlar.Sadece küretaj yapılan hastalarda yüksek lokal nüks yanında akciğer metastazı yapma potansiyeli olduğundan lokal agresif tümör olarak kabul edilir. Ama bu metastazlar ölümcül değildir.Diz eklemi en sık tutulan bölgedir. Diğer sık tutulan bölge el bileğidir. Kemik korteksini harap ederek yumuşak dokulara yayılım gösterebilir. Tanı için biyopsi şarttır. Brown tümörü ile ayırıcı tanısı yapılmalıdır. Tanı esnasında akciğer tomografisi çekilmelidir.

Tedavide genişletilmiş küretaj ve adjuvan ajanlarla kalan tümör hücreleri öldürülmeye çalışılır. Adjuvan ajan olarak; sıvı azot, alkol, fenol, argon koter, kriyoterapi, yüksek hızlı burr ve sementleme (kemik çimentosu) uygulanır. Eklemin tutulduğu vakalarda eklem feda edilir,protez veya artrodez uygulanabilir. Rezeksiyonun zor olduğu olgularda denosumab kullanılması önerilmektedir.Hastaların lokal nüks ihtimaline karşı 10 yıl süre ile takibi yapılmalıdır. 

Langerhans Hücreli Histiostoz

Langerhans hücresi olarak isimlendirilen bir tip histiosit içerdikleri için aynı grupta sınıflandırılan, üç hastalık bulunmaktadır:
- Eozinofilikgranülom
- Letterer-Siwe hastalığı
- Hand-Schüller Christian hastalığı

İskelet sisteminde lokalize ve sıklıkla tek bir kemiği tutan tipleri çok iyi prognozludur. Sistemik bulguların ön planda olduğu, multiorgan tutulumlu formlarının prognozu daha kötüdür. Hastalık her yaş grubunda görülebilir. Çocuklarda ve genç erişkinlerde çok daha sıktır.Hastalar ağrı ve şişlik yakınmalarıyla, bazen de patolojik kırık ile başvururlar.

Tanı aşamasında hatırlanması gereken çok önemli bir nokta bu grup hastalığın davranış olarak 'büyük taklitçi' adını almasıdır. Klinik ve radyolojik olarak bu lezyonların birçok hastalığı taklit edebilir görüntüde olmasından kaynaklanır. Uzun veya yassı tüm kemikleri, omurları ve pelvisi tutabilir. Birden fazla kemikte aynı anda görülebilir. Tanı biyopsi ile konur.

Tedavi aşamasında değişik görüşler vardır. Mekanik sorun yaratmayan bölgelerde takip sonucunda bazı vakaların kendiliğinden iyileşebildiği gözlenmiştir. Yine kemik içine steroid enjeksiyonu öneriler arasındadır. Ancak, en etkili tedavi bu bölgenin kürete edilmesi ve gerektiğinde boşluğun kemik dokusu ile doldurulmasıdır. Sistemik tutulumu veya cerrahi tedaviye rağmen tekrarlayan ve ek olarak yeni kemik lezyonlarının oluştuğu vakalarda kemoterapi ilave edilmelidir. Çocuklardaki omurga çökme kırıklarında nörolojik bulgu yoksa koruyucu korse ile takip yeterlidir. Bunlarda zaman içinde düzelme olacaktır. 

İntra-Osseöz Lipom

Olgun yağ dokusundan oluşan selim bir tümördür. Orta yaş ve üzerindeki hastalarda, sıklıkla kalkaneusda ve bazı uzun kemiklerde ortaya çıkar. Düzgün sınırlı, radyolojik olarak yağ görüntüsü veren lezyonlardır. Biyopsi nadiren gereklidir. İntraosseöz lipomların çoğu tesadüfen tespit edilir. Genelde takip yeterlidir. Rahatsızlık veren olgularda cerrahi tedavi gerekebilir. Tedavisi, cerrahi olarak çıkartılıp yerine kemik doldurulmasıdır. MRI’da tüm sekanslarda hemojen görüntü var ise biyopsi yapmadan cerrahi tedavi yapılabilir. 

Hemanjiom

Kemik içinde kan damarlarından oluşan iyi huylu bir tümördür. Popülasyonun %10’unda görülür. Kapiller ya da kavernöz formları olabilir. Sıklıkla kafatası, omurga, uzun kemiklerde olmak üzere tek lezyonlar şeklinde rastlanır. Bunlar genelde şikayete neden olmayan ve tesadüfen tespit edilen tümörlerdir. Litik, kemik içinde boşluklar yaratan ve damarların birbirine dolaşması ile ortaya çıkan, bal peteği görüntüsü veren lezyonlardır. Belirli aralarla takip yeterlidir. Ancak, tümörün içinde pıhtılaşmalar nedeniyle ağrı yaratan durumlarda ya da özellikle omurga gibi çökme kırıklarına yol açabileceği yerlerde müdahale gerektirebilirler. Bu müdahale embolizasyon (besleyici damarın tıkanması), tümörün boşaltılıp kemikle doldurulması, omurgalarda kemik çimentosu ile destekleme ve problemli fakat ulaşılamayan bölgelerde radyoterapi şeklinde olabilir. Biyopsi nadiren gerekir. 

Miyozitisossofikans

Bazen travma ile birlikte ortaya çıkan, fibröz doku ve yeni kemik oluşumları ile karakterize selim tümöral bir gelişmedir. Kemiklerin dış yüzüne yapışık ya da çok yakın komşuluklarında görülebilir. Radyolojik görüntü ve muayenede parostealosteosarkomla benzerlik gösterebilir, özellikle travma hikayesi olmayanlarda karıştırmak daha da kolaydır. Bu durumda tanı mutlaka biyopsi ile kesinleştirilmelidir. Tedavi, lezyonun olgunlaşmasını beklemek ve ardından gerekiyorsa kitleyi çıkartmaktır.

Hidatik Kist

Echinococcusgranulosus parazitinin vücutta oluşturduğu kistlerdir. En sık karaciğer ve beyin gibi organları tutmakla birlikte nadiren kemik ve eklemlerde ortaya çıkıp klinik ve radyolojik olarak tümör bulguları verir. Genelde ağrısız, inflamasyon bulguları olmayan kitlelerdir. Omurga tutulumları felçlere, pelvis tutulumları kalça eklemin kaybedilmesine neden olabilir. MRI'de kistin içinde tipik küçük tanelerin görülmesi bu tanıyı düşündürmelidir. Laboratuvar testleri ile tanı desteklenebilir. Tedavisi tıpkı bir tümör gibi geniş cerrahi rezeksiyon ve bunun medikal tedavi ile desteklenmesidir. 

Enfeksiyon

Kemik dokusunu tutan enfeksiyonlar (osteomyelitler) kemik yıkımına ve reaktif kemik yapımına yol açan özellikleri nedeniyle hem akut hem de kronik dönemlerinde klinik ve radyolojik olarak tümör benzeri şikayetlere yol açabilirler. Özellikle akut osteomyelit, görülme yaşı, yerleşimi (kemik diyafizi), klinik şikayetleri (genel durum bozukluğu) ve radyolojik görüntüleriyle tümörlerle karışabilir. Diyafiz tutulumu, MRI'de yumuşak doku ödeminin yumuşak doku kitlesi gibi algılanması, intramedüller tutulum, permeatif litik ilerleme, periostreaksiyonu, soğan zarı tarzındaki yeni kemik oluşumu ve başlangıç dönemindeki genel durum şikayetleri Ewing sarkomu ile ciddi karışıklıklara yol açabilir. Yine tüm bu bulgular, eozinofilikgranülomla da benzerlikler gösterir. İğne biyopsisi çoğu zaman doğru tanı için gereklidir. Kronik osteomyelitteki kemik yıkımı ve yapımının bir arada bulunması osteosarkomdaki değişikliklerle benzeşir. Ayrıca akıntılı kronik osteomyelitte fistül ağzında epidermoid kanser olarak başlayıp alttaki kemikte de tutuluma yol açan habis dönüşümlerin olabileceği akılda tutulmalıdır. 

Kaliteli bir yaşam için sağlığınızı ihmal etmeyin.

Anlaşmalı Olduğumuz Sigorta Şirketleri

Allianz Sigorta
AXA Sigorta
Magdeburger Sigorta

Copyright 2022 Scroll2Top. Tüm hakları saklıdır.